All
Search
Images
Videos
Shorts
Maps
News
Copilot
More
Shopping
Flights
Travel
Notebook
Report an inappropriate content
Please select one of the options below.
Not Relevant
Offensive
Adult
Child Sexual Abuse
Length
All
Short (less than 5 minutes)
Medium (5-20 minutes)
Long (more than 20 minutes)
Date
All
Past 24 hours
Past week
Past month
Past year
Resolution
All
Lower than 360p
360p or higher
480p or higher
720p or higher
1080p or higher
Source
All
Dailymotion
Vimeo
Metacafe
Hulu
VEVO
Myspace
MTV
CBS
Fox
CNN
MSN
Price
All
Free
Paid
Clear filters
SafeSearch:
Moderate
Strict
Moderate (default)
Off
Filter
0:10
YouTube
Sports Med Review
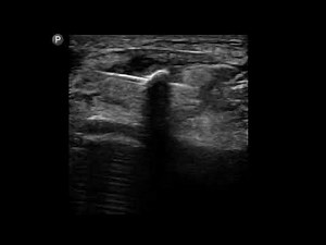
Knee Ultrasound: Patellar Tendon Calcification
This video shows a quick loop of a large calcification the proximal patella tendon. The probe is linear. The patella is seen on the left, with the tendon extending to the right. The calcification is the large hyperechoic section within the proximal tendon. There is a little hypoechoic area which may represent fluid. Patellar Tendonitis https ...
511 views
Jun 21, 2022
Calcification Causes
11:54
The REAL Reason Why Your Arteries are Calcifying and Turning into Bone
YouTube
Dr. Eric Berg DC
3.6M views
Jul 28, 2022
11:40
The REAL Reason Why Your Arteries are Calcifying - CAC Score
YouTube
Dr. Paul Anderson
177.2K views
Nov 13, 2024
4:00
The REAL Reason Your Arteries Are Calcifying (And How To Stop It!)
YouTube
Natural Heart Doctor
3.5K views
3 months ago
Top videos
0:07
Knee Ultrasound: Patellar Tendon Barbotage
YouTube
Sports Med Review
358 views
Jan 19, 2022
17:06
Atherosclerosis & the Imaging of Vascular Calcification
YouTube
Radiology Frameworks
3K views
Dec 16, 2024
2:23
Understand Knee Ligament Injuries (ACL, PCL, MCL, LCL) - 3D animation
YouTube
Health Decide
497.3K views
Apr 14, 2023
Calcification Symptoms
12:51
Coronary Artery Calcification (CAC) – A Complete Guide to Symptoms, Diagnosis & Treatment
YouTube
PACE Hospitals
575 views
10 months ago
10:57
Coronary Artery Calcification (CAC) - Causes, Symptoms, Diagnosis, Treatment & Preventions
YouTube
PACE Hospitals
7.2K views
Feb 22, 2025
8:31
What Is Liver Calcification
YouTube
Medical Symptoms TV
15.8K views
May 30, 2022
0:07
Knee Ultrasound: Patellar Tendon Barbotage
358 views
Jan 19, 2022
YouTube
Sports Med Review
17:06
Atherosclerosis & the Imaging of Vascular Calcification
3K views
Dec 16, 2024
YouTube
Radiology Frameworks
2:23
Understand Knee Ligament Injuries (ACL, PCL, MCL, LCL) - 3D animati
…
497.3K views
Apr 14, 2023
YouTube
Health Decide
7:57
Reverse Soft Tissue Calcification: Bring Calcium Out Of Tissue & Int
…
2.8M views
Dec 27, 2022
YouTube
Felix Harder
10:06
6 Reasons for Calcium Deposits (Spurs, Osteophytes, Stones, and
…
370.6K views
Mar 20, 2023
YouTube
Dr. Eric Berg DC
4:30
Find in video from 04:00
Importance of Calcium Deposit
"Treating Calcific Tendonitis Without Surgery"
31.9K views
Jun 24, 2023
YouTube
Dr.Jorge A. Gonzalez
0:13
Vascular Calcification and Obstruction in a Study Patient
16.4K views
Feb 8, 2011
YouTube
NEJM Group
17:05
Podcast 26 Soft Tissue Calcifications
6.2K views
Nov 28, 2013
YouTube
LearningRadiology.com Official Channel
4:09
Stages of Knee Osteoarthritis
5.8M views
Aug 28, 2017
YouTube
Bioventus
4:44
Knee Arthritis X-ray Stages: What You Need To Know
188.9K views
Jan 16, 2023
YouTube
Jeffrey Peng MD
2:33
Find in video from 02:13
Importance of Calcium Development
Calcium Deposits Around The Knee
11.3K views
Oct 1, 2020
YouTube
Pure Health Aesthetics & Wellness
11:10
Every Knee Pain EXPLAINED in 11 Minutes... & Their Fixes!
1.3M views
Aug 16, 2024
YouTube
Body Fix Exercises—for over 50s
9:20
Find in video from 01:37
Knee Joint Bones
Anatomy of the Knee Joint
586.8K views
Jan 20, 2021
YouTube
Siebert Science
7:55
Medial Collateral Ligament Injuries - Everything You Need To Know - D
…
266.1K views
Dec 14, 2018
YouTube
nabil ebraheim
4:41
How to Read Knee MRI of MCL Injury | Complex Knee Surgeon | K
…
129.6K views
Jul 30, 2015
YouTube
Robert LaPrade
1:34
How To Read Knee Joint X Ray ..Dr Sai Chandra MBBS DNB (Ortho)
73K views
Dec 2, 2021
YouTube
Dr Sai Chandra Malladi Official
4:28
Sonographic Examination of Knee Ligaments
52.9K views
Jun 16, 2015
YouTube
AJPM&R
11:47
Interpreting X-Rays of the Knee Joint
128.5K views
Jun 18, 2013
YouTube
TeachMeAnatomy
2:23
Find in video from 00:06
Knee Anatomy and Orientation
Stress fracture of knee and meniscus tear
5.4K views
Oct 25, 2021
YouTube
First Look MRI - Power to the Patient
7:29
Ultrasound guided intra-articular knee injection with no effusion
4.3K views
8 months ago
YouTube
The Neuromuscular Mechanic
2:22
Ganglion Cysts Around The Knee - Everything You Need To Know - D
…
79.8K views
Sep 14, 2018
YouTube
nabil ebraheim
7:56
Knee Injections: You Need To Know This
1.6M views
Feb 23, 2024
YouTube
Talking With Docs
1:23
“Calcific Barbotage” procedure for calcific rotator cuff tendinosis.
603 views
Sep 17, 2024
YouTube
DrGsportsmed
31:43
How To Clearly Tell Where You Are In The 4 Stages Of Knee Arthritis
2.1M views
Oct 18, 2022
YouTube
El Paso Manual Physical Therapy
2:03
What is calcific tendonitis?
33.2K views
Jul 1, 2021
YouTube
Nick Ferran @ Shoulder & Elbow London Ltd
8:19
Find in video from 00:23
Introduction to Knee Osteoarthritis
Diagnose Knee Osteoarthritis in 4 Minutes with Leslie Nielsen
867.7K views
Dec 18, 2012
YouTube
Arthritis Research Canada
1:53
Find in video from 00:24
Understanding Calcification
Ossification vs Calcification??? How to tell them apart (Pilar Cyst)
…
4.7K views
Jan 7, 2021
YouTube
Jerad Gardner, MD
8:31
Find in video from 00:34
Identifying Calcifications
SOFT TISSUE CALCIFICATIONS
2.4K views
Apr 6, 2024
YouTube
RAD VISION SNK
3:54
Tumoral Calcinosis - Everything You Need To Know - Dr. Nabil Ebraheim
8.1K views
Nov 10, 2015
YouTube
nabil ebraheim
See more videos
More like this
Ask a Knee Doctor Online | Licensed & Board-Certified Drs
https://www.justanswer.com
Sponsored
A Doctor Will Assist in Minutes! Questions Answered Every 9 Seconds.
Feedback